Loneliness is destroying millions of brains right now.
It makes your memory weaker, keeps stress high, hurts your immune system, and makes your brain age way faster.
But there’s hope.
You can protect your brain, feel better, and start climbing out of it…
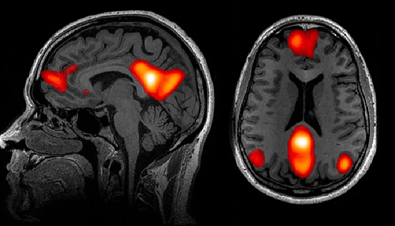
🧠 Brain Damage

Loneliness doesn’t just feel bad, it hurts your brain.
Scientists can literally see it on scans:
🔸 Memory shrinks. Loneliness makes it harder to learn new things and recall old ones.
🔸 Stress stays high. Constant cortisol slowly burns brain cells and wears you down.
🔸 Grey matter fades. Your focus gets weaker and decisions become harder.
This is why when you’re lonely, it’s harder to think straight, remember simple things, or even make good choices.
And it gets worse…
Chronic loneliness makes your brain look 10-15 years older than it should. That means…
🔹 Faster cognitive decline
🔹 Higher risk of dementia
🔹 Less motivation and drive
Loneliness isn’t “just in your head.” It’s literally a physical brain damage.
⚠️ Other Health Risks

Loneliness doesn’t stop at your brain, it wrecks your body too.
Studies show lonely people face:
🔹 Weaker immunity → you get sick easier and recover slower
🔹 Higher blood pressure & heart disease → risk of stroke goes way up
🔹 More sleep problems → broken rest, no deep recovery
🔹 Greater risk of depression & anxiety → your mood crashes, motivation disappears
It’s like a slow poison, day after day, it wears you down until you feel older, weaker, and more fragile than you really are.
Loneliness literally makes you sicker, and shortens your life.
💡 Protect Yourself

The good news: loneliness doesn’t have to win.
Even small steps can start healing your brain and body:
🔸 One daily connection - text a friend, call family, or say hi to a neighbor
🔸 Join a group - class, gym, online community, or local meetup
🔸 Talk to strangers - even quick chats with baristas or coworkers boost brain health
🔸 Take care of basics - sleep, exercise, and nutrition make you more resilient
You don’t need 20 best friends to fix lonelines.
Just a few real connections are enough to protect your brain and help you feel alive again. 🧡
Tools & Resources
💊 Mind Lab Pro - a nootropic stack that supports memory, focus, and stress resilience. It won’t replace real human connection, but it can help your brain handle stress and stay sharper while you rebuild your social life.
📖 Loneliness: Human Nature and the Need for Social Connection - the science + practical strategies from the researchers who made loneliness a public health issue.
👋 Meetup.com - find local groups based on interests. Even one in-person meet-up a month makes a difference for brain health.
Read next
Thanks for reading 🙏
Hope this was helpful.
I was introverted my whole life, making friends felt impossible, so I stayed quiet and kept to myself.
But a while ago I pushed myself to change, I started showing up to events, saying yes to meetups, and even started volunteering at a local youth center.
It wasn’t easy, but step by step I built real connections.
If I can do it, you can too. 😉
See you next Sunday.
— Ernest
